Sâu răng rất phổ biến, đặc biệt là với răng hàm. Nếu răng hàm bị sâu mà không điều trị nhanh chóng, kịp thời sẽ gây những biến chứng ảnh hưởng đến cả hàm. Vì vậy cách phòng ngừa và cách điều trị sâu răng nói chung và sâu răng hàm nói riêng được thực hiện ra sao để có được hiệu quả cao nhất là điều được rất nhiều người quan tâm.
>>
Bị sâu răng phải làm sao
>>
Biểu hiện của răng sâu
>>
Bà bầu bị đau răng
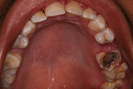
Sâu răng hàm là gì?
Sâu răng hàm là sự phá hủy của các mô răng thật (bao gồm cả ngà và men răng) dưới tác động của vi khuẩn và acid, gây phân hủy đồng thời phân rã liên kết cứng của ngà và men răng.
 |
| Răng hàm bị sâu |
+ Nguyên nhân gây sâu răng hàm
Nguyên nhân của tình trạng sâu răng chính là do vệ sinh răng miệng không tốt, dẫn đến các tích tụ vi khuẩn trên bề mặt răng. Chất đường có trong mảng bám sẽ là yếu tố thuận lợi để vi khuẩn phát sinh và gây bệnh lý.
+ Dấu hiệu của bệnh sâu răng hàm
Khi bị sâu răng, trên răng sẽ xuất hiện các lỗ đen nhỏ. Lỗ đen này sẽ rộng và sâu dần. Khác với sâu răng cửa thường xuất hiện ở cạnh cắn hai bên, đối với sâu răng hàm, thường bị sâu ở các rãnh trên mặt nhai trước sau đó là sâu ở rãnh mặt bên. Vì răng hàm thường có nhiều gờ rãnh hơn các răng mặt.
Do đó, nếu răng hàm bị sâu thì mặt rãnh mặt nhai sẽ đen trước tiên, sau đó vết sâu lan rộng, vỡ ra thành miếng lớn. Cũng có trường hợp các lỗ sâu này hình thành ở thân răng và tiến dần vào bên trong ngà răng và cuối cùng là tủy răng.
Sâu răng hàm và những biến chứng nguy hiểm
Sâu răng khởi nguồn là những vết sâu phá hủy mô răng nhưng nếu không được điều trị ngăn chặn và kiểm soát thì sẽ lan rộng xuống phía dưới. Dấu hiệu sâu răng hàm đầu tiên, mô răng sẽ bị phá hủy nặng, vỡ ra, cấu trúc của răng bị xâm lấn nghiêm trọng. Sau đó, ngà răng bị sâu và lan tới tủy răng. Khi tủy răng bị viêm, răng sẽ bị đau nhức rất dữ dội, có khi cơn đau buốt nhói lên tận óc.
 |
| Biến chứng của sâu răng hàm |
Tủy răng viêm không được điều trị sẽ tiếp tục viêm tới chóp răng. Chóp răng bị viêm sẽ sinh ra ổ mủ dưới nướu và làm tiêu xương ổ răng. Khi xương ổ răng tiêu, nướu viêm các dây chằng nha chu lỏng lẻo sẽ làm cho răng sâu vốn đã yếu càng bị lung lay nặng hơn.
Do đó, nguy cơ mất răng và viêm nướu – xương nghiêm trọng. Khi xương ổ răng bị viêm thì nguy cơ các răng kế cận bị viêm nhiễm và lung lay gãy rụng là điều không tránh khỏi. Đó là lý do nha sỹ thường khuyến cáo bệnh nhân nên điều trị sâu răng càng sớm càng tốt, đặc biệt là đối với răng hàm đóng vai trò ăn nhai chính trên cung hàm thì điều này lại càng quan trọng.
Trên đây là những điều mà chúng tôi muốn chia sẻ với các bạn về cách nhìn nhận dấu hiệu sâu răng hàm. Nếu còn bất kỳ thắc mắc nào bạn vui lòng liên hệ ngay tới nha khoa KIM để được các bác sĩ thăm khám và tư vấn cụ thể hơn.
Comments[ 0 ]
Đăng nhận xét